Как выглядят на УЗИ полипы в матке и эндометрии с кровотоком
Ультразвуковая диагностика — это не фотография реального объекта, а сформированное изображение на основе данных об отражении специальных волн тканями организма. Поэтому для того, чтобы различить образование на снимке, необходимо иметь представление о том, как выглядит полип матки на УЗИ. Об этом и пойдет речь в этой статье.
Что такое полип и какой он в реальности?
В результате гиперплазии эндометрий увеличивается, но ограниченность в пределах матки приводит к выпячиванию этого участка. Последующий рост осуществляется так, что тело образования остается в шарообразной форме, а основание становится тонким и продолжает вытягиваться. Получается грибообразное строение на ножке. Основная часть может быть гладкой или бугристой. Иногда весь полип однороден по толщине и напоминает палец или щупальцу. Цвет зависит от разновидности и качества собственного кровообращения: серый, розовый, красный, белесый, с пятнами кровоизлияния, с темными отмершими участками и белесоватым или желтым налетом. Размеры относительно величины органа могут быть приличными – до 8-10 см, такой полип уже не помещается внутри матки и «вытекает» в процессе роста через цервикальный канал, тогда его легко обнаружить при осмотре на кресле гинеколога.
Состоит образование из собственных тканей эндометрия, а это соединительные волокна и железистый компонент. В зависимости от сочетания материалов различаются разновидности патологии. Кровеносные сосуды с плотными стенками проходят через ножку полипа, а в теле располагаются в форме клубочков.
Цитологические исследования показывают, что железы в составе нароста видоизмененные, вытянутые и имеют неправильную форму. Если это базальный полип, то они не воспроизводят секрет, железы функционального слоя, напротив, работоспособны. Соединительную ткань представляют в основном фиброволокна, которые отличаются высокой прочностью и плотностью.
Основные виды образований матки:
- Железистый с преобладанием одноименных элементов. Более рыхлый, подвижный с полупрозрачной поверхностью.
- Фиброзный, когда больше соединительной ткани. Плотный белесый или красный.
- Смешанный при примерно равном соотношении. Часто встречаются признаки воспаления, и нарушения кровообращения в виде неоднородных по цвету областей.
- Аденоматозный полип – это нарост, где железы и их клетки имеют нехарактерные изменения. Считаются предраковым состоянием, высок риск озлокачествления. Чаще встречаются отдельные области внутри другого вида образования, которые называют очагами аденоматоза.
- Плацентарные формируются из кусочков не отторгшейся во время родов или после прерывания беременности плаценты.
Внимание! Любой полип теоретически считается опасным в плане онкологии.
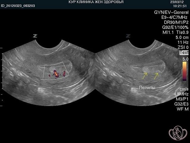
Врачи отмечают, что полипы в матке и эндометрии на УЗИ могут выглядеть как гиперэхогенные образования, которые имеют четкие контуры. Эти образования могут быть одиночными или множественными, и их размеры варьируются от нескольких миллиметров до нескольких сантиметров. При наличии кровотока, что часто определяется с помощью цветного допплеровского картирования, полипы могут демонстрировать усиленное кровоснабжение, что указывает на их активность и потенциальную возможность злокачественного перерождения. Важно, что наличие кровотока не всегда свидетельствует о патологии, однако требует внимательного наблюдения и, при необходимости, дальнейшего обследования. Врачи подчеркивают, что правильная интерпретация УЗИ-данных и комплексный подход к диагностике являются ключевыми для выбора оптимального метода лечения.

Как проводится УЗИ при образованиях в полости матки?
Ультразвуковое исследование – это самый доступный способ диагностировать наросты на эндометрии. Кроме него, распознать полипы можно посредством рентгена или гистероскопии. Однако УЗИ делают без предварительной подготовки, в отличие от других методик, да и информативность остается довольно высокой около 95-96 %.
Осуществляют процедуру сразу после менструации, когда полностью заканчивается кровоток, примерно на 6-8 день цикла. В это время матка очищена от поверхностного эндометрия, что позволяет увидеть небольшие по размеру образования. Более эффективным считается исследование трансвагинальным датчиком, но сначала делают УЗИ органов малого таза.
Иногда в качестве подготовки требуется наполнить мочевой пузырь, затем после первичного осмотра, опорожнить его. Так определяют местоположение яичника и матки.
УЗИ через брюшную стенку не приносит никакого дискомфорта, смазанный специальным гелем датчик просто двигают по животу, надавливая с небольшим усилием.
Трансвагинальное исследование несколько отличается. Проводиться оно на гинекологическом кресле после мочеиспускания. Влагалище санируют, устанавливают зеркало-расширитель, а затем катетер в цервикальный канал, через него доставляют трубку с датчиком и производят исследование. Иногда в полость матки вливают солевой раствор для лучшей визуализации путем расправления стенок. Исследование возможно и без введения датчика в матку, а только во влагалище.
Внимание! Ощущения при использовании трансвагинального прибора неболезненные. Пациентки отмечают дискомфорт и чувство давления.
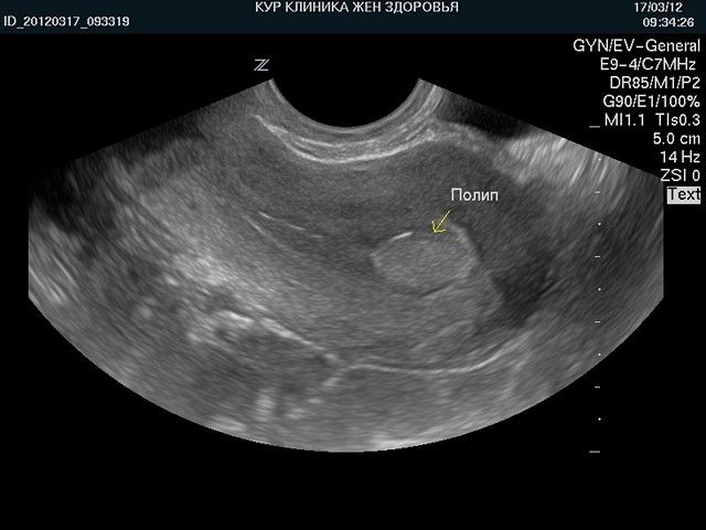
Как выглядят полипы на снимке УЗИ?
Ультразвук – это волны, которые при отражении формируют картинку. Жидкости поглощают излучение и являются анэхогенными, выглядят темным пятном. Чем плотнее структура, тем более она эхогенна и светлее. По таким характеристикам можно определить тип ткани, например, кость высвечивается белым и называется гиперэхогенной. Киста с жидким содержимым будет круглым темным пятном с четкими краями.
Некоторые признаки, характеризующие патологию при УЗИ:
- Хорошо различимые границы;
- Грибообразная или круглая структура;
- Полость матки расширена, как и цервикальный канал;
- Деформация контура органа;
- Кисты эндометрия вокруг основания полипа.
Железистые образования, как менее плотные смотрятся более темными, чем фиброзные. По тому, как выглядят полипы эндометрия на снимке, невозможно точно определить их разновидность.
Внимание! Для выявления типа нароста матки используют гистологию, которая дает 100 % результат и поможет исключить онкологию.
После первичного диагностирования, последуют и повторные процедуры для оценки динамики роста и эффективности лечения. Также УЗИ проводят после удаления полипа, чтобы исключить рецидив.
Полипы в матке и эндометрии часто становятся предметом обсуждений среди женщин, особенно когда речь идет о результатах УЗИ. Многие отмечают, что на ультразвуковом исследовании полипы могут выглядеть как небольшие, хорошо очерченные образования, которые могут иметь различную эхогенность. Важно, что наличие кровотока в области полипа может указывать на его активность и потенциальную необходимость дальнейшего наблюдения или лечения. Женщины делятся своими переживаниями о том, как результаты УЗИ влияют на их здоровье и планы на будущее. Некоторые отмечают, что своевременное выявление полипов позволяет избежать серьезных осложнений, таких как бесплодие или рак. Обсуждение таких тем в женских кругах помогает повысить осведомленность и снизить уровень тревожности, связанный с диагнозом.

Что эффективнее ультразвука?
Увидеть эндометрий матки воочию можно только посредством гистероскопии. Это исследование с помощью видеокамеры, которая поставляется прямо в полость органа. Требуется специальная подготовка в виде ряда лабораторных исследований. Проводится под местным или общим наркозом. Однако иногда встречаются случаи, что выявленный на УЗИ полип не находили во время гистероскопии. И только гистология ставила все на свои места. Образование подтвердилось в соскобах эндометрия.
Заключение
https://youtube.com/watch?v=m1qmWQsAhms
Сегодня многие непросто заботятся о здоровье, но и предпочитают самостоятельно владеть всей информацией о диагностике и лечении заболеваний. Но то, как выглядит маточный полип на снимке УЗИ, вряд ли поможет в решении проблемы.
Вопрос-ответ
Как описывается полип эндометрия на УЗИ?
Признаки полипа эндометрия в матке на УЗИ. Полип матки на УЗИ выглядит как новообразование с четким контуром. Другим его признаком может стать расширение полости и утолщение стенки матки. Для диагностики новообразований лучше всего подходят 5-7 дни менструального цикла.
Можно ли ошибочно увидеть полип эндометрия?
Иногда на УЗИ невозможно однозначно сказать, полип ли это. Иногда полип можно спутать с миомой, псевдополипом — сгустками эндометрия, которые выйдут из матки во время менструации. Чувствительность гораздо выше у соногистерографии – золотого стандарта диагностики полипов.
Советы
СОВЕТ №1
Перед проведением УЗИ обязательно проконсультируйтесь с врачом. Он поможет вам понять, какие именно исследования необходимы для диагностики полипов и как правильно подготовиться к процедуре.
СОВЕТ №2
Обратите внимание на симптомы, которые могут указывать на наличие полипов, такие как нерегулярные менструации или кровотечения между циклами. Это поможет вам вовремя обратиться к специалисту.
СОВЕТ №3
При получении результатов УЗИ не стесняйтесь задавать вопросы врачу. Понимание того, как выглядят полипы на изображениях и какие признаки указывают на их наличие, поможет вам лучше ориентироваться в своем здоровье.
СОВЕТ №4
Если у вас уже диагностированы полипы, следите за своим состоянием и регулярно проходите контрольные обследования. Это поможет избежать возможных осложнений и своевременно принять меры при необходимости.




